Tratamento seguro, com o Dr. Leandro Diniz – Especialista em Implantodontia.
Recupere a estética e a função fixa dos seus dentes.
❌ Prótese/Dentadura que solta ou machuca a gengiva;
❌ Vergonha de sorrir em fotos ou falar em público;
❌ Deixa de comer carnes ou alimentos que gosta por não conseguir mastigar;
❌ Sente que a falta de dentes envelhece sua aparência.
❌ Sente dores e desconfortos na mandíbula.
❌ Tem ausência de osso para implantes.
⚠ Se você disse SIM para algum desses itens, o Implante Dentário é a solução definitiva que você procura.
❌ Prótese/Dentadura que solta ou machuca a gengiva;
❌ Vergonha de sorrir em fotos ou falar em público;
❌ Deixa de comer carnes ou alimentos que gosta por não conseguir mastigar;
❌ Sente que a falta de dentes envelhece sua aparência.
❌ Sente dores e desconfortos na mandíbula.
❌ Tem ausência de osso para implantes.
⚠ Se você disse SIM para algum desses itens, o Implante Dentário é a solução definitiva que você procura.
POR QUE NOS ESCOLHER?
Utilizamos o que há de mais moderno na odontologia mundial para garantir resultados estéticos e duradouros.
Técnicas minimamente invasivas e sedação consciente para seu total conforto.
Reconstrução óssea para viabilizar implantes dentários.
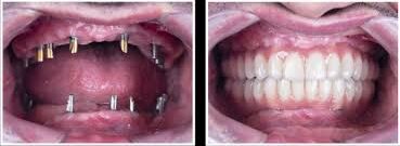
Próteses que imitam perfeitamente a cor e formato dos seus dentes naturais.
Materiais de titânio e zircônia de classe mundial com garantia.
Veja alguns resultados e o que dizem sobre o Dr. Leandro Diniz diretamente no Google.





EXCELENTE Com base em 83 avaliações Publicado em giselleTrustindex verifica se a fonte original da avaliação é Google. Muito atencioso, detalhista. Limpeza impecávelPublicado em Lais RodriguesTrustindex verifica se a fonte original da avaliação é Google. Profissional Leandro fez o diagnóstico, pediu exames para procurar uma melhor solução para meu problema. Ótimo profissional e atencioso. Clinica limpa e aconchegante.Publicado em Rayssa borgesTrustindex verifica se a fonte original da avaliação é Google. Foi excelentePublicado em Ariane GouveiaTrustindex verifica se a fonte original da avaliação é Google. Excelente profissional!
Sou o Dr. Leandro Diniz, Especialista em Implantodontia e Cirurgia Bucomaxilofacial.
Minha missão não é apenas colocar implantes, é devolver sua autoestima e o prazer de comer.
Mais de 15 anos de experiência.
Técnicas modernas para um pós-operatório mais tranquilo.
Experiência em casos complexos (pouco osso).
Fale agora com o Dr. Leandro Diniz e descubra qual o melhor tipo de implante para o seu caso.
Minha missão é oferecer um atendimento tranquilo, seguro e sem traumas. Viva uma experiência positiva, sem dor e com total confiança em cada etapa do tratamento — do primeiro contato ao pós-operatório.
Não. O implante dentário é realizado com anestesia local, o que garante total conforto durante o procedimento. Você sente apenas uma leve pressão, mas sem dor. Além disso, usamos técnicas modernas para tornar tudo mais rápido e tranquilo, sempre priorizando sua segurança e bem-estar.
O procedimento é individual. Em muitos casos, a colocação do implante leva até 4 meses, dependendo da complexidade. Porém, com as tecnologias atuais, existem casos em que há a possibilidade de utilizar um dente temporário (provisório) até a finalizaçao do tratamento completo, trazendo uma melhor experiência para o paciente.
Cada caso é único, porque depende do tipo de implante e das necessidades do paciente. Mas fique tranquilo: oferecemos condições facilitadas de pagamento e opções que cabem no seu orçamento.
O ideal é agendar uma avaliação para receber um diagnóstico completo e um orçamento feito especialmente para você.
Sim, atendemos Uniodonto Uberlândia e Odontoprev, porém esses convênios não cobrem a colocação de Implantes Dentários.
Estamos localizados dentro do Griff Shopping, na Av. Rondon Pacheco, 2300 – 3° Andar Sala 115 – Bairro Saraiva.
Dr. Leandro Diniz – Todos os direitos reservados.